Уникального пациента без пульса готовят к выписке в Петербурге
:focal(0.53:0.64):format(webp)/YXJ0aWNsZXMvaW1hZ2UvMjAyNi8xL3Bob3RvLTIwMjYtMDEtMTktMTgtMzgtMDguanBn.webp?w=1920)
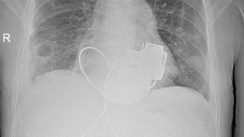
Пациент, которому впервые в России имплантировали сразу два искусственных желудочка сердца, готовится к выписке из Мариинской больницы в Санкт-Петербурге. Об этом сообщили в телеграм-канале городского комитета по здравоохранению.
Мужчина в возрасте 36 лет поступил в стационар с тяжелыми диагнозами: терминальной сердечной недостаточностью и кардиомиопатией. Медики заявили, что показатели работы сердца пациента были такими, будто он «уже не жив, а мертв».
«В Мариинской больнице готовится к выписке уникальный пациент, который с недавних пор живет без пульса», — заявили в комитете.
Операция по имплантации искусственных желудочков сердца была крайне сложной, но специалисты успешно справились с задачей. Процедуру провели под руководством главного внештатного специалиста по сердечно-сосудистой хирургии комитета по здравоохранению Санкт-Петербурга, академика РАН Геннадия Хубулавы.
Ранее в департаменте здравоохранения Москвы сообщили о внедрении новых методов лечения сердечно-сосудистых заболеваний.