Ребенка с редким генетическим заболеванием спасли в медцентре Рошаля
:format(webp)/YXJ0aWNsZXMvaW1hZ2UvMjAyNS8xMS9waG90by0yMDI1LTExLTE4LTExLTM4LTMzLmpwZw.webp?w=1920)
Четырехмесячная девочка поступила в детский медцентр Рошаля в Красногорске в тяжелом состоянии. У нее случился судорожный приступ, а обследование выявило выпирающий родничок, увеличенный размер головы и превышение нормального уровня аммиака в крови почти в пять раз.
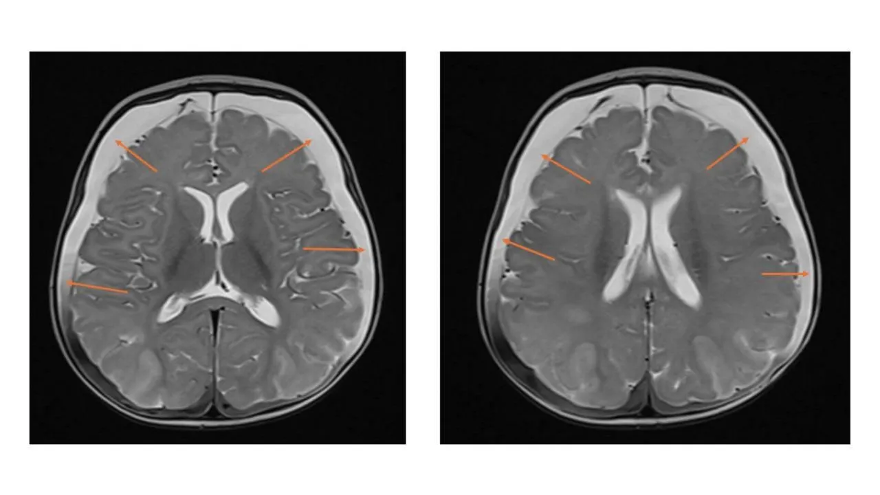
МРТ выявило у ребенка следы перенесенных кровоизлияний и признаки серьезного нарушения кровоснабжения. В результате врачи поставили диагноз — ННН-синдром. Это редкое генетическое заболевание, при котором организм не может перерабатывать белок, в результате чего происходит отравление аммиаком, разрушающее мозг.
«В стационаре мы подобрали лекарственную терапию, которая помогла прекратить поступление белка. Это позволило предотвратить необратимое повреждение мозга, и через 24 часа уровень аммиака снизился до нормальных значений», — рассказала заведующая неврологическим отделением Ирина Ожегова.
Состояние девочки оценили как стабильное, ее уже выписали на амбулаторное лечение.